Materiais restauradores definitivos
Subscribed: 0Played: 0
Subscribe
© Isabella Daflon
Description
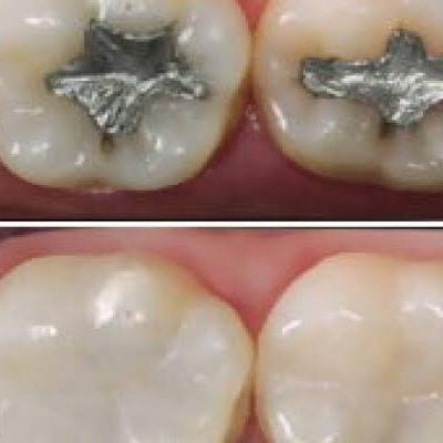
De forma breve e simplificada, algumas características dos materiais restauradores definitivos
4 Episodes
Reverse
Comments







