SIO500: A New Study Suggests Brain Imaging Might Have Significant Flaws
Description
Brain pics, or they didn't happen? There's a recent study that demonstrates that some brain region activity might interact differently with oxygen than previously assumed. This could upend significant neuroscience research spanning decades. Thankfully SIO has Dr. Jenessa Seymour to come in and break it all down for us!
We start with a primer on the science of neuroimaging tools and the images they produce. How in the WORLD can we get a picture of a brain while a person is still alive? What are the things we need to know when evaluating scholarly articles or popular media coverage about the brain that uses these brain "scans" in discussing their results? And what do we need to see next to support the findings of this study that could have incredible ramifications across our understanding of the brain?
-
Example fMRI with a more-appropriately blurry sMRI underneath
-
After Warping Options, Configurable Pipeline for the Analysis of Connectomes (0, 4, and 8mm filter images)
-
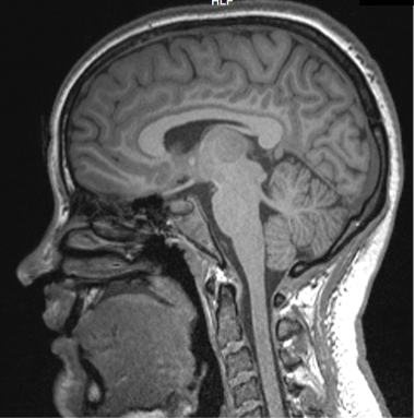
Jenessa's Brain:
<figcaption>Jenessa's brain sMRI</figcaption> </figure> Are you an expert in something and want to be on the show? Apply here!
Please support the show on patreon! You get ad free episodes, early episodes, and other bonus content!




